Tra gli esami più utili ci sono la gastroscopia, che permette di osservare direttamente l’esofago e lo stomaco, e test funzionali come la manometria esofagea e la pH impedenziometria, fondamentali per valutare la funzionalità dello sfintere e la quantità di acido che risale.


Quando il reflusso diventa pericoloso
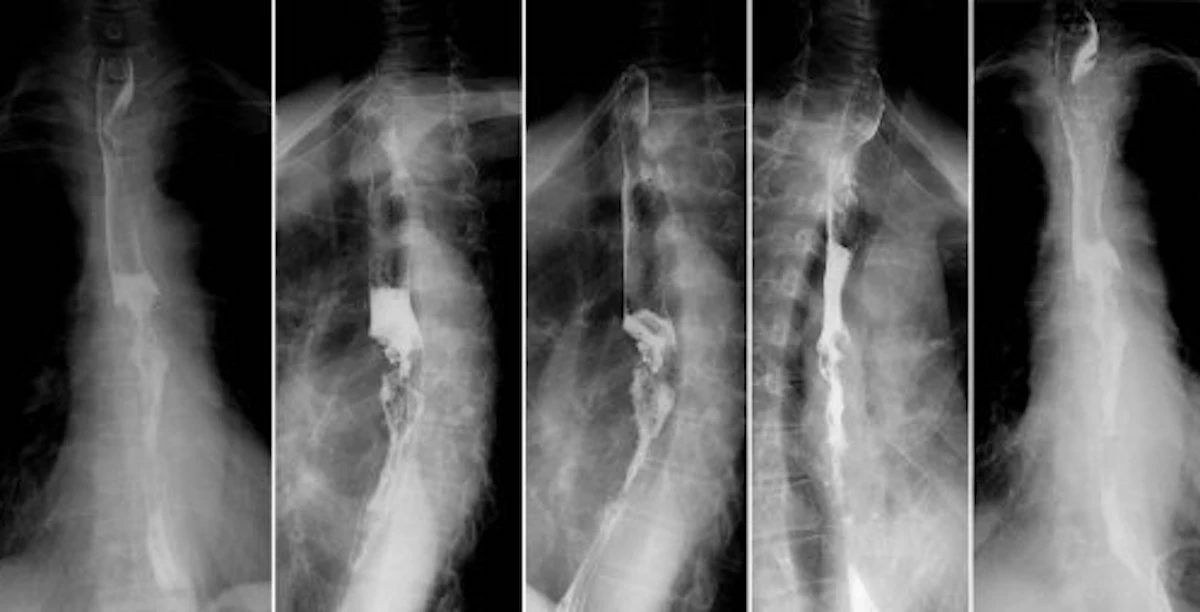
Le complicazioni di un reflusso cronico non trattato possono essere molto serie. “Il reflusso cronico può portare allo sviluppo di condizioni patologiche anche molto gravi quali esofagite, stenosi esofagea, esofago di Barrett che è una lesione pre-cancerosa, fino al tumore dell’esofago”, sottolinea il chirurgo. Per questo è importante rivolgersi a specialisti in grado di interpretare correttamente gli esami e impostare la terapia più adatta.
Nei casi più lievi può bastare una terapia medica a base di inibitori di pompa protonica, ma quando la malattia è più avanzata può rendersi necessario un intervento chirurgico. In ogni caso, l’obiettivo resta uno: prevenire le complicazioni e migliorare la qualità della vita.
Prevenzione e buone abitudini
La prevenzione è la chiave per tenere lontano il reflusso e le sue conseguenze. Controllare il peso, evitare fumo e alcol, limitare i cibi irritanti come cioccolato e pomodori, e rispettare orari regolari per i pasti sono piccoli gesti che fanno una grande differenza. Il messaggio dell’esperto è chiaro: ascoltare il proprio corpo e non sottovalutare i sintomi è il primo passo per proteggere la propria salute.
Il reflusso non è solo un fastidio momentaneo, ma un segnale da non ignorare. Con la giusta attenzione, uno stile di vita equilibrato e il supporto medico adeguato, è possibile prevenirlo e ridurre i rischi legati a una delle patologie più diffuse dei nostri tempi.





